Smile Gallery of Our Patients
Before

After
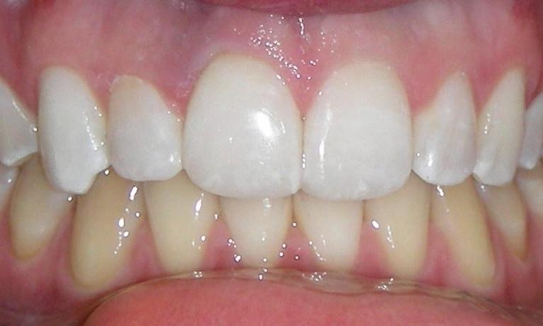
Repair of fractured incisor with composite resin.
This young Yale student fractured her two front teeth a few days after arriving in New Haven to begin her graduate school. She had recently bleached her lower teeth before leaving home.
Composite resin was bonded to the fractured area, and her treatment was completed within an hour.
For details on this procedure, visit the link for an article written by Dr. Dioguard Cosmedent.Magazine
http://www.dentalcomposites.com/composite-cases/a-composite-classic-by-dr-anthony-t-dioguardi/
Before
After
Porcelain Veneers
These porcelain veneers replaced the ones the patient had received several years earlier.
Before

After

Diagnosis with theLED Transilluminator
The LED Transilluminator is an exciting new instrument that can let us “see into the inside of a tooth by lighting it up like a light bulb.
While in no way does it eliminate the need for dental X-rays, it provides another tool to diagnose decay, cracks and other conditions that might be missed by other methods.
Before
After
Laminate composite resin veneers
This patient came to our office with severely eroded enamel. This condition can result from excessive use of acidic foods (such as lemons or soda), or other causes.
When the enamel is not present to protect the teeth, the softer dentin underneath is far more vulnerable to further destruction.
This case was restored with composite resin veneers, and was completed in one session. In cases such as this, little or no drilling of the natural tooth structure is necessary.
Before
After
Before
After
Full Mouth Rehabilitation
We regularly work closely with dental specialists to achieve the best possible result. This is an example of a full mouth rehabilitation that involved several dental specialties. This patient complained of excessively worn front teeth and a smile that showed too much of his gums. Periodontal reshaping of the gums and supporting structures was performed by Dr. John Parnoff, (periodontist) before new crowns were designed and placed..
Before

After

Implants, Bleaching, Reshaping and Bonding.
In this case, the retained primary lateral incisors replaced with implant retained crowns. The remaining teeth were bleached and reshaped and bonded with composite resin to achieve a new smile. Reshaping and bonding is often the most cosmetic and conservative approach to smile rehabilitation.
Before
After
Ceramic Crown
This crown was replaced with an all ceramic crown. The gray discoloration has been eliminated.
Before
After
Smile Makeover with Composite Resin Veneers and Reshaping
Reshaping and composite veneer is often the most cosmetic and conservative approach to smile rehabilitation. This makeover was completed in a single visit, and no healthy tooth structure was removed.
Before
After
Before
After
Space Elimination with Composite Resin
The canine and lateral incisor were enlarged with composite resin to eliminate the unwanted space. No anesthesia was necessary and the procedure was completed in less than an hour.
Before
After
Before
After
Space Between Lower Teeth Eliminated with Composite Resin
This patient had always hated the space between her lower teeth, but had not wanted traditional orthodontics . Her lower incisors were reshaped with bonded composite resin. The procedure lasted less than an hour and no anesthesia was used.
Before
After
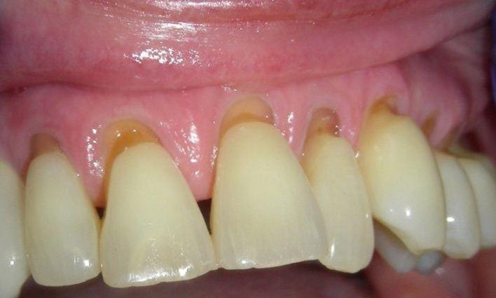
Repair of Tooth Wear with Composite Resin
Cervical abrasion, or excessive wear of the exposed root structure can be the result of many factors including gum recession, and aggressive brushing. Besides being unsightly, it can lead to cold sensitivity and weakening of the tooth structure. Composite resin restoration is a conservative procedure that can be completed in one visit with minimal or no drilling of the existing teeth. It can eliminate sensitivity, strengthen the teeth, and restore the beauty of the smile.
Ready to book an appointment?
Schedule Now