Skip to main content
Downtown New Haven Dental
Contact us for an appointment
(203) 777-2513
General, Cosmetic, Implant Dentistry
Dental Sleep Medicine
Home
About Dr. Dioguardi
Our Team
Dental Services
View All
Sleep Apnea
View All
Symptoms of Sleep Apnea
Snoring
Sleep Apnea Financial Options
Sleep Apnea and Snoring Dental Appliances
About our AADSM Accredited Facility
For Referring Doctors
Published Articles
Before and After
Testimonials
Forms and Accessibility
Music Schedule
Financial
Contact and Directions
Downtown New Haven Dental
>
Before and After
>
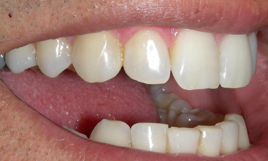
Space Elimination with Composite Resin
Space Elimination with Composite Resin
Return to Smile Gallery
Previous
Next
The canine and lateral incisor were enlarged with composite resin to eliminate the unwanted space. No anesthesia was necessary and the procedure was completed in less than an hour.
Before
After
Ready to book an appointment?
Schedule Now
OK!
×
×
Contact Us Today
Give Us A Call
Anthony T. Dioguardi, DMD -
(203) 777-2513
Send Us an Email
Request an Appointment
Contact Us
Ready to Schedule an Appointment?
Book Online
Have Questions? Contact Us:
Required Field
Your Name:
Phone:
Email:
Are you a new patient?:
Are you a?
New Patient
Current Patient
How would you like us to contact you?
Please choose
Email
Call
How did you hear about us?
Please choose
I'm an existing patient
Google/Bing
Mailer
Word of mouth
Social media
Other
Who Referred You?:
Appointment Preferences
Monday
Tuesday
Wednesday
Thursday
Friday
Your Message:
This site is protected by reCAPTCHA and the Google
Privacy Policy
and
Terms of Service
apply.
Sending...
×
This Patient's Experience
Loading Testimonial...
Loading Case...